Life Before Treatment

For over six years, Felecia Bryant struggled with ongoing jaw issues that affected nearly every part of her daily life. What began with a painful closed jaw lock developed into persistent left-side jaw pain, limited mouth opening, clicking, and weekly episodes of jaw locking with pain reaching 9 out of 10.

Chewing and speaking became increasingly difficult. “I’ve been told I talk sideways,” she shared, referring to how her jaw shifted when opening her mouth.

But the symptoms didn’t stop there. Felecia also battled deep fatigue — waking up with only 3 to 4 out of 10 energy levels, even after 12 hours of sleep — and she would “run out of gas” just a few hours into the day. Headaches behind her left eye became a regular occurrence, along with lower back pain, occasional dizziness, and anxiety. At only 28 years of age, these issues had begun to severely impact her quality of life.

Diagnosis & Treatment Approach

When Felecia came to Raman Center for TMJ & Sleep, her clinical exam revealed clear signs of a jaw alignment disorder — Temporo Mandibular Dysfunction (TMD). Dr. Prabu Raman noted that her fatigue, headaches, and even back pain were likely secondary to poor jaw alignment.

Advanced diagnostic tools were used to pinpoint the optimal position of her jaw in relation to the head and neck in order to develop a customized TMJ treatment plan. These tools included:

  • Braebon Medibyte Jr Home Sleep Test
  • Vatech Cone Beam CT scanner
  • Myotronics K7 Jaw computer
  • J5 Ultra Low Frequency TENS device
  • Carestream digital scanner

Using this data, Felecia began Phase 1 treatment with a custom-designed Physiologic Neuromuscular Fixed Orthotic to support and stabilize her jaw and neck in the correct position.

After experiencing major relief, she chose to move into Phase 2, selecting a Removable CAD CAM Orthotic — precisely calibrated based on her refined jaw position — to maintain those improvements long term.

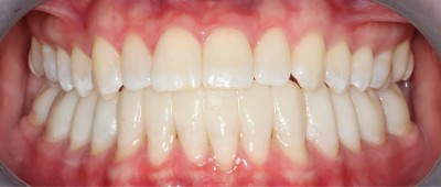
Before Treatment

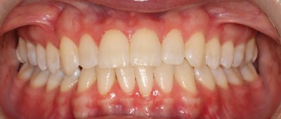
Phase 1 – Fixed Orthotic

Phase 2 – Removable CAD CAM Orthotic

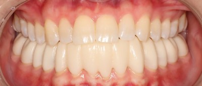
Life After Treatment

Felecia’s results were transformative:

  • Jaw pain, locking, and clicking: 90% improvement
  • Fatigue: 80% improvement
  • Headaches: 90% improvement
  • Back pain: 100% improvement
  • Anxiety: 70% improvement
  • Dizziness: 90% improvement

“Initially, I was expecting maybe some help with jaw clicking and jaw pain,” she said. “I did not think that symptoms like fatigue, headaches, and back pain were all related. That kind of blew my expectations — knowing that all those things could improve just by improving my jaw.”

When asked if she would choose the treatment again, Felecia didn’t hesitate:

“I will do it again. I will pay for it. Because it is worth it.”

Reflections from the Team

Dr. Raman and his team take great pride in seeing these kinds of whole-body improvements in patients.

“As a team, we truly enjoy being able to help people suffering with jaw problems and hope to get some improvement — but never dreamed that many other quality-of-life impacting symptoms they’ve been suffering with may ALSO be due to poor jaw alignment. When they are amazed that not only their TMJ problems get resolved, but a lot more, we feel blessed to be able to do that for them.”

Watch Felecia’s Story

Contact Us Today

If you’re experiencing TMJ-related issues or pain, don’t wait any longer. Call our office today at (816) 436-4422 to let Dr. Raman help alleviate your symptoms. Relief may be just a click away.